- Best Dentist in Tardeo, Mumbai
- Mon to Fri: 9am to 6pm | Sat: 9am to 2pm.

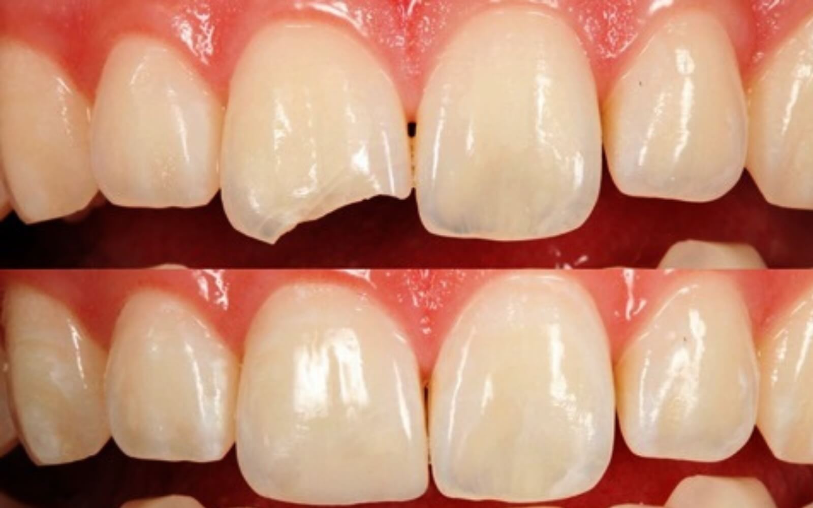
Welcome to Artista Advanced Dentistry in South Bombay, where we specialise in cosmetic fillings to enhance your smile. Our expert dentists perform this procedure with exceptional skill and precision, ensuring beautiful and natural-looking results.
At Artista Advanced Dentistry, we are committed to delivering highly aesthetic treatments. We use the rubber dam technique, the gold standard for isolation globally. This technique ensures optimal isolation and moisture control, allowing our dentists to create precise and long-lasting cosmetic fillings.
Experience the difference of Artista Advanced Dentistry for your cosmetic filling needs in South Bombay. With our gentle and caring hands, we are dedicated to helping you achieve a beautiful and confident smile.
Tooth colored fillings blend seamlessly with your natural teeth, providing a discreet and aesthetically pleasing restoration.
Composite fillings require minimal removal of healthy tooth structure, helping to preserve the strength and integrity of your teeth.
Tooth colored fillings are durable and can withstand the pressures of biting and chewing, providing long-lasting results.
Our skilled dentists have extensive experience in placing tooth colored fillings, ensuring precise and effective dental restorations.
We meticulously match the shade of the composite filling to your natural tooth color, ensuring a seamless and natural-looking result.
With tooth colored fillings, we strive to conserve as much healthy tooth structure as possible, making the procedure minimally invasive and preserving the integrity of your teeth.
We use high-quality composite materials that are safe, durable, and biocompatible, ensuring optimal oral health and long-term success.

Tooth colored fillings are suitable for individuals who have dental cavities, chipped teeth, or worn enamel. If you are looking for a natural-looking and effective solution for dental restoration, tooth colored fillings can provide the aesthetic appeal and functionality you desire. Our skilled dentists will assess your specific dental needs and recommend the appropriate treatment with tooth colored fillings.

Would highly recommend Artista Dentistry, and especially Dr Niralee Shah for any dental issues. They are very professional and regularly follow up in terms of scheduling appointments and keeping track of your treatments.

Highly recommended! Dr. Niraalee is a thoroughly professional and ethical caregiver. Her expertise and personal attention is exceptional.

Very happy with an recent implants treatment by Dr Niralee Shah. The clinic has cutting edge technology and the staff makes you feel at ease right from when you enter. Highly recommend Artista for any dental treatments.!

Dr Niraalee and her team are professional yet personal. My daughter had refused to get her dental treatment done anywhere and I was so worried coz her cavities had becomes really bad. Till we met Dr niraalee. She has such a great panel of doctors. All my daughters dental problems were taken care of. Now we go only to her

Excellent doctors who are very friendly and warm and excel in their work. Clinic is up to date with technology and extremely hygienic. the kids play area is great for children to get comfortable.

They meticulously care for every patient, diagnosis and treatment are precise, equipment used is state of the art. They have regular follow ups as well.
In addition, the clinic has a very pleasant vibe. Dont miss the coffee!

Had a great experience and was made to feel at absolute ease by Dr. Ritika & Dr. Niraalee. The clinic is super modern and clean. They’re so well equipped for making children feel comfortable with their play area as well as their gentle approach.

Absolutely new age clinic with latest technologies and best equipments. That’s not the only thing making it so special, it’s the Dentists who are experts, caring, friendly and approachable! From Diagnosis to follow up every step is personally looked into. Highly recommend!

I was so nervous about getting my wisdom teeth extracted… Dr. Niraalee Shah made it so comfortable and effortless for me … the follow up post the extraction was also fantastic… the clinic itself is amazing… very clean and welcoming…. I would highly recommend Artista to anyone looking to get their dental work done.

The Artista team is very professional, on point and efficient. The space is one of the best clinics I have been to because it doesn’t feel like a clinic at all. Their recommendations are practical and always in the patient’s best interest. Most of my friends and family swears by them.

I found Artista Advanced Dentistry excellent. The treatment procedures, equipment and expertise is far advanced as compared to renowned public multi-speciality hospitals. The critical advantage is specific specialists for different dental issues instead of the “general practitioner” approach to dental problems. My treatment was seamless, quick and painless, the follow up support excellent. Would recommend anyone looking for a painless (well 99% there!) treatments to consider Artista experts. Quite a find for me!

I’ve done multiple procedures with them – cavity fixes, root canal, wisdom teeth extraction and regular clean ups. They have specialists for each different procedure, everything was super clean and state of the art.
Very accommodating, professional and awesome post care help too!

Was a very very good experience. Went to a dentist after a decade so was really scared, but the clinic is extremely comfortable and Ritika and Niralee did a great job.

Great doctors!! Polite staff, lovely ambience, Dr Ritika has a very gentle hand. Got my daughter’s braces done here with Dr Ritika and Dr Aniket, the entire process was very smooth, comfortable and very efficient.

Super efficient and amazing team. Very clean clear in explanation and treatment. Very impressed and would recommend to anyone who needs a good dentist.

I got two wisdom teeth extracted recently. Dr Niralee and Dr Adwait were awesome, they did a fantastic job pre and post surgery. The overall staff was also super helpful and efficient. Highly recommend for any dental work.

Great doctors, cutting edge tech and chill vibe! Got my fillings done from Dr. Ritika. Very happy with the work and the process. Highly recommend!

I came to Artista Dental in a state of panic as two of front caps came out just before my trip to Canada. Dr Niraalee took an x ray and advised me to remove the stumps , put in dental implants and gave me same day fixed teeth in the same sitting. I was surprised that I could get fixed teeth the same day I removed them. I was very happy with the treatment. The team, assistants, and the support staff are very friendly and helpful. Truly felt at home in the clinic.

Amazing experience

My Experience is v positive…

State of the art machines and fabulous dentists who look after your comfort and work at precision

Was a great experience , nice to be in a place where a patient’s comfort is given priority over everything .

Superb place… very advanced…most ,competent & compassionate Doctors… worth every penny…💝👍👏

Painless treatments, genuine care, fabulous ambience. Dr.Ritika is a fav.

Super neat work. Lives upto their Brand name

Excellent team of doctors and a fully equipped fantastic clinic space

Excellent Clinic with state of the art equipment, felt like we were at a clinic abroad somewhere. Great doctors as well, very patient and knowledgable.

Excellent Ambience and Hygiene. Very Efficient and Professional team of Dentists. Extremely reasonable Fees and Superb post Surgery Service. I highly recommend this Organization

I have been visiting Dr Nirali and Dr Ritika’s clinic for a while now and I must say that I am extremely impressed with their hospitality and how humble they are. They are exceptional at their work and I recommend their services to all!

Tooth to be told – Artista dentistry is as good as it gets ! Go in with your Pain. Come out Sane & no Pain. If you wish to keep your teeth in your mouth 24/7 then Artista is a place to be in as they believe in fighting against ‘Enamel cruelty’ ! 😃🥰 From their chair to how they fare on every facet is a pretty ‘High score’. I had my share of the experience ! Good wishes ! Ashish

Niralee and Ritika are thorough professionals, apart from being great dentists who are amazing at their job they are also warm people and make sure their patients feel really comfortable.

The dentists are excellent both pediatric and regular . They really explain things well, and are very thorough. The clinic itself is also just lovely

Artista is a wonderful and state-of-the-art clinic to go to for all your dental care needs. The doctors are very helpful and caring and the space is beautifully designed. Highly recommend!
The lifespan of tooth colored fillings can vary depending on factors such as the size and location of the filling, your oral hygiene practices, and your eating habits. With proper care and regular dental check-ups, tooth colored fillings can last for many years.
Yes, tooth colored fillings are considered safe. They are made from composite materials that are free from mercury or other harmful substances. Our dental team follows strict protocols to ensure your safety and uses biocompatible materials for dental restorations.
Tooth colored fillings do not require special care beyond regular oral hygiene practices. It is important to maintain good oral hygiene by brushing twice a day, flossing daily, and visiting your dentist regularly for check-ups and cleanings.
Yes, tooth colored fillings can be used to replace old metal fillings. Our dentists can assess your existing fillings and recommend the appropriate treatment options, including replacing metal fillings with tooth colored fillings for a more natural and aesthetically pleasing appearance.
Tooth colored fillings may be slightly more expensive than traditional metal fillings due to the materials and techniques involved. However, the cost can vary depending on the size and complexity of the filling. Our dental team can provide you with detailed information about the cost of tooth colored fillings during your consultation.
Fill out the form below, and we will be in touch shortly.